I had a stroke on March 23, 2005. My left side was paralyzed. I started this web site to blog that experience and inform family, friends, and students of my progress. Keyboarding was also excellent rehab for my left hand.
… I have posted a ten-year follow-up summary at the bottom of this page
and a 2019 follow-up at 14 years post-stroke below that.
A second stroke on August 28, 2023 was larger in size of affected area in brain, but only produced poor coordination in my right arm. I deduced it was in the left precentral motor cortex, and the MRI confirmed that. more below
.
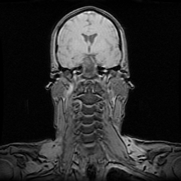
MRI of my brain after the stroke. Vertebrae coming up from bottom. Lateral ventricle is dark in middle, with cortex wrapped above, and brainstem below. The clot and affected area are too small to see. There was swelling in an area about the size of a finger tip in the pons. Part of the corticospinal nerve which controls the left side of my body was killed, and part of it was damaged and probably recovered. My left side may also have recovered by recruiting the ten percent of the corticospinal tract which does not cross over. Or something else.
Quick Summary: The stroke took out a large chunk of my cerebrospinal nerve (from precentral motor cortex to spine) at the pontine level. My left side was paralyzed. We believe a small defect in my heart, a patent foramen ovale (PFO) (also known as an atrial septal defect (ASD- Defect in the wall/Septum between the two Atria), shed a bit of tissue which acted like a clot and caused the stroke. My recovery has been excellent. Some of the nerve recovered probably, but various continued signs suggest to me that the ipsilateral motor nerves have stepped in as a kind of redundant system. Inferior (1/10 the size) but functional. Ten years later I am 100% functional, though my left side is weak and less coordinated and the left side reflexes are brisk.
This page shows MRI images, and my daily blog as I experienced the stroke and then used every bit of my neuroscience training to augment the wonderful physical therapy at Fanny Allen hospital. I recovered most of my basic motor functioning.
.
Horizontal section
Two kinds of Stroke: Stroke is a loss of blood flow to brain tissue, leading to injury or death of nerve cells in that part of brain. The cause is either bleeding in the brain (hemorraghic stroke), or a clot blocking a blood vessel (ischemic stroke). Thinning blood helps stop clots or break them up- aspirin, Plavix, and warfarin are common. To stop bleeding you do the opposite, encourage coagulation or do surgery to repair the leak.
Stroke is the second leading cause of death world wide, and the third leading cause in the USA. Maybe our brains have evolved their size faster than the cardiovascular system to support them.
Motor and Sensory Stroke A stroke might affect sensory, motor, or other brain function. A stroke can occur anywhere in the brain, and be large or small. So while strokes may be similar, they are always different in what they affect. One common observation is that strokes on the left side of the brain affect the right side of the body, and also speech which is mostly usually controled by the left temporal cortex. The cerebellum controls coordination of movements, NOT by modulating the motor output nerves, but by informing the cortex- where motor output originates- about the sensory feedback from the body. You can barely move without sensation.
Luckily, my sensory nerve tracts were not “stroked”. So what I recovered is fairly coordinated. And with my ischemia (blockage) on the right side of my brain, paralyzing my left side, the speech function on the left side of my brain were largely unaffected. The motor control of the left side of my face was affected but rehabbed quickly- in part because I spent a lot of time right after the stroke talking talking talking to family and friends.
Treating stroke- opposite therapies Stokes can be caused by a clot, or by bleeding. You must know which type of stroke it is before treatment, as the therapies are opposite. Success of recent efforts at clot-busting with TPA apply only if you get to the hospital and have a CAT scan or MRI that diagnoses the cause of your stroke within about thre hours. Not easy.
After childhood, nerve growth is largely inhibited. The trauma of stroke may disinhibit nerve growth temporarily, allowing several weeks or months for reparative nerve growth to occur. New drugs under study may widen this time window, or even reopen it. Long nerves may require too long to reach their targets, and the pathways are likely blocked. But short connections that allow rewiring and function shifting of interneurons in spinal cord, cortex, and elsewhere in the brain may be enabled during stroke recovery. Much stroke treatment is aimed at keeping the blood vessels open and healthy, e.g.lowering cholesterol, stopping smoking, losing weight, and eating more chocolate.
Cause Unknown I had a cryptogenic stroke. That means we are not sure (crypto) of the cause (genic). I have a PFO (patent foramen ovale – hole in wall between left and right atria in heart, common in 10-30% of adults), which may have been the cause.
from Columbia research prospectus-
” Approximately 40% of cerebral infarctions cannot be classified as strokes of determined cause despite a complete diagnostic work-up and are labeled as “cryptogenic strokes”. Patent foramen ovale (PFO), a hemodynamically insignificant inter-atrial communication, has been suggested as a potential conduit for paradoxical embolization in some patients with cryptogenic stroke. Among patients with stroke of undetermined origin aged under 40, 50, or 55 years, contrast echocardiography has identified a high prevalence of PFO. Most recently, we have found a several-fold higher prevalence of PFO in cryptogenic stroke patients, both in those aged below and above 55 years compared to those with a definable cause of stroke. Thus, the association of a PFO with cryptogenic stroke is significant not just for young but for all age groups. Since stroke is predominantly a disease of the elderly, association of PFO with cryptogenic stroke could have more public health consequences in terms of number of total patients, than if it were only associated with the young patients.
In order to assess the magnitude of the problem, the yearly incidence of cryptogenic stroke and the prevalence of PFO in both the general population and the population with cryptogenic stroke can be used to estimate the number of strokes attributable to PFO. The yearly incidence of stroke in the U.S. is estimated at 400,000 to 500,000, and approximately 40% are cryptogenic. If one uses Lechat et al’s findings and assumes that the prevalence of PFO in the general population is 10% versus 40% in patients with cryptogenic stroke, then at least 48,000 strokes each year may be attributable to the presence of a PFO. Cryptogenic stroke has a death or recurrence rate at less than 30 days of approximately 3.0%, and one year death or recurrent stroke rate of approximately 16%. Therefore the national cost, as a result of recurrent stroke requiring hospitalizations and due to lost-work days is enormous.”
Although warfarin or aspirin is often used, there is no consensus on the treatment of cryptogenic stroke patients with PFO. The rate of stroke recurrence on medical therapy is unknown, and there is no data on the additional risk the presence of a PFO imparts on cryptogenic stroke patients without a PFO. Some have advocated percutaneous closure of PFO, and reported on the preliminary results, but the role of such an invasive and potentially very costly procedure remains undefined.
I was a control study in a multi-center study to evaluate PFO closure. The scarcity of subjects resulted in a longer term than expected. But the eventual results indicated little benefit of PFO closure, but significant expected complications from the surgery of the procedure.
photo caption: I took up the euphonium to strengthen my facial muscles

This was not in the Physical Therapist’s recipe book. Cutting car sponges into balls to squeeze and play catch with my left hand and arm was not in the Occupational Therapist’s recipe book. They were great, but I needed more, immediately, during the brief healing window. So I made some of my own rehab devices.

One year after stroke I am skiing again, trying to make up the lost ski trip of 2005.
Not skiing great. But having a blast.
STROKE BLOG
To my students: April, 2005
Despite my excellent health, I had a brain stroke March 23rd. It cancelled my family ski trip and I was in a rehab clinic. I lost all movement in my left arm and leg. My speech was affected. It recovered quickly. Ambulance at 5:00 a.m. CAT scan, Two MRI scans. Transfer from local hospital to regional med center in Burlington.
For those of you who have some physiological psychology, the stroke was a blockage of unknown cause in a small blood vessel in my pons. The pons is mainly a relay center in the brainstem, located between the medulla and midbrain, with the cerebellum(motor coordination) connecting into it. Nearby relay nuclei for facial and other cranial nerves may have been disrupted causing my speech problem. The lack of oxygen killed nerve fibers that connect the motor cortex to the spine (the corticospinal tract) on the right side of the pons. This motor nerve tract crosses over in the medulla, hence the left arm-leg paralysis.
The sensory nerves for the arm and leg rise up through the pons in a different tract, an afferent one, the medial lemniscus. So my sensation in the left arm and leg is normal. This is good, because the sensations are critical feedback to relearning “use” of the arm and leg with the few motor nerve fibers that were not killed by the stroke. These few fibers were traumatized and are slowly functioning again.
The now-disconnected motor nerve cells which run from the spine to the muscles MAY get some new connections from the few remains of the corticospinal tract. And out at the muscle, muscle cells which have lost innervation will send a chemical (we think) signal for nearby working nerve cells to grow out new collateral branches. Also, some of the corticospinal tract do not cross over, so I may be able to use some left cortex signals to control my left side. Actually, we do not fully understand recovery from stroke. But 85% of recovery occurs in the first month.
At first my left side was paralysed and my speech was slurred. Already I can walk up a flight of stairs. My arm and fingers move weakly. Perhaps these things would have healed anyway, but I have thrown every bit of energy into the healing and relearning process. One nurse described me as ‘gung-ho”. The data indicate that the amount of recovery is partly a function of effort and therapy, especially early on. I have a good shot at over 90% recovery. My speech is already back over 95%.
I do not have time to be depressed… my family needs me and I love living too much, so every waking minute I am giving my best effort. I have the further advantage of being buoyed up by my family, and by a community that includes my church, my community chorus, my daughter’s school, my Masonic lodge, and my book shop colleagues and customers. I take about five minutes a day to sob and feel sorry for myself. Tears come easy. Then it’s back to healing, and enjoying each day of that difficult process. In a way I have had it easy with such great support, good doctors and therapists, and steady progress. On the other hand, those advantages are partly due to my choices to be involved in my community in an active way. Enough preaching..
I was discharged from rehab on April 4th . Now it’s out-patient rehab. I am back at SJC. Maureen Travis kindly volunteered to cover Behavior Analysis until I got back. Carole MacKenzie is co-teaching Human Sexuality with me until the end of the semester. In both classes, you students will have to take some additional responsibility for your education. Swapping profs midsemester is not ideal- I thank you for your understanding and the extra effort you will put in to learn what you want, what you need, and what the changed course will require(i.e. figuring out what the new prof is looking for). A silver lining is that you get a second point of view and expertise in your class(es)
Because my stroke has been such a learning experience, I am happy to answer questions about it,
Thanks again for your patience and understanding,
Best,
Rick Rayfield
For students with a physiological psychology course or in nursing: I estimate that my stroke killed 250,000 to one million nerve cells connecting my motor cortex to my spinal cord. This is based on the size of the stroke area and the diameter of corticospinal cells, and the fact that after recovery I had less than 10 percent strength, and some of this was probably from other fiber tracts- retrained nerves. Ouch.
The stroke area, as well as dying nerve cell axons extending both up and down from it, can be seen in magnified cross sections of the pons. The small vessel which we believe was blocked somehow, perhaps by a clot, is too small to be seen on the MRI. The stroke area is detected by swelling (edema), which is the body’s reaction to the injured and dying nerve cells.
Stroke Hits The Blog
Day 1
March 23, 2005
Went to bed at 1:30 a.m. Woke at 4:45 with feeling of pepper rubbed into my eyes. Thought gas heater exhaust might be killing us. Holliday wakened easily and confirmed baby OK next to her. I go up to check on Sophie and the heater. Legs did not support me. Fell unto bed. Noticed tongue thick, and as I spoke with Holliday slurred speech. Also arms and legs on both sides felt heavy and a bit numb. Holliday checked on Sophie and heater. Both fine, CO2 alarms OK. I am more than just groggy from sleep. Allergic shock (no allergies), food or blood poisoning, heart attack, migraine, stroke, brain tumor, brain infection, weird pinched nerve. Too many bad possibilities. Called ambulance. EMTs arrive about 5:10 or 5:15. Vitals. Mystery symptoms. Chair carry to ambulance. Off to CVH. Nothing in vitals or blood work, or CAT scan (plus orbit x-ray to check eyes for metal chips before MRI). Afternoon MRI slot moved to late morning. Arms and legs weak, uncoordinated, and heavy. Visual distortions which usually precede my occasional migraine. MRI shows nothing. Big mystery. Wheeled upstairs to room. Walk to bathroom with gait belt and nurse suggests right leg weaker than left. Half hour swallowing therapy/instruction is useful. Comfortable, from MRI sedative, and no pain. Might be dying. Rikki joins Holliday and Miranda at bedside. Ex-wife Roberta shows up, mostly to check on Rikki’s reaction to situation, but still a bit surreal.
At 3:00, I sat up with vague general sense that something was happening. Noticed left was getting weak, and right becoming less heavy. This decline of left movement continued for three hours, as the right improved. Holliday pressed for primary care and neurologist to act. Just as she was about to yank me, they agreed I should be transferred to Fletcher Allen Health Care- Burlington- where the MRI is better, and they have a full neurology department. We spent seven weeks there in November and December when Miranda was premature.
Ambulance to Burlington. Only bed available is on oncology ward. Not a happy place. Most of hospital is not a happy place. Resident Dr Adam Quick does first of many standard neurology exams, squeeze, push, pull, eyes, reflexes, etc. Left arm and leg completely immobile. Reflexes on left are ”brisk”, which means stronger than normal due to lack of inhibition from the brain.
Looks like a stroke, he says, and wakes attending Dr Dulaney to confer and plan MRI in morning . Will it get worse? Will the left side ever return? What happened? For months I have been happily exhausted, but in excellent health. Day one ends, Miranda’s four-month birthday. Holliday has two kids to get to bed. Will I recover to help ever?
Day 2
March 24, 2005
Wake up and wondering, is this a bad dream? But I can move my left leg a little. Great sign I think.
Dr Quick cannot be with us. (He had looked tired.) Dr Dulaney and a 4th year med student with a research background Scott Aesif do the neurology tests over. They insist I try walking, with their support, but when I stand, my pants drop to my ankles. Cute.
MRI (with a tracer) and echocardiogram scheduled. MRI IS bigger and fancier here. Echo is very quick and wondrous to see valves working as heart beats. Back in room Dr Dulaney has six people there with rounds. My pants stay up. They have seen my MRI and there was a stroke in my right pons. Mystery partly solved. Symptoms explained, but cause of stroke is still unknown. Echo looks fine. Transesophageal Echo (TEE) may show more heart detail tomorrow. Start one aspirin a day.
I try to sing, but cry at once, even if I sing silly songs. Speech is still unsteady, but usable. Singing voice is unsteady, control is poor, and it isn’t just the emotions I think. This surprises me, as previous work with stutterers led me to suspect that singing was more durable than speech.
Rikki brings me chicken pot pie from home. Delicious. But the real treat is to have her home for Spring break. Not such a treat for her, with her grandmother near death these last 18 months.
My pastor arrives. Long talk. When chaplain arrives, we do anointing and prayer.
Moved to a double room on the neurology floor.
Day 3
March 25
We were supposed to leave for ski trip today. Resident Tatiana early on suggests spending day out of bed- in chair. Already my plan. I agree to full work-up by med student so he can present. TEE requires glob melting numbing (lidocaine) paste and IV anesthetic. In afternoon a leg vascular ultrasound finds my veins healthy and an unlikely source of clots to cause stroke. But TEE shows I am part of 20-30 percent of population with a patent (open) foramen ovale which often closes in childhood, and which might allow clots to avoid the net of the lung capillary bed and lodge in the brain. Unproven theory.
In the morning, some slight movement in my thumb and arm. Right tests normal. Sensation in left arm and leg is normal- cutanous and proprioception (position).
In the evening, my leg feels stronger, and my forefinger moves a bit. So strange to send command to move and get no visual or proprioceptive response.
In evening, I bare my neuroscience background so the med student and resident wheel me down hall to view my MRIs. I see and estimate size of stroke edema site. Clot not seen. Vessels look great. I tell them how I keep my sinuses clean. They say I have a good brain, which means it matches their text books.
Brian Degen visits. Tarquin arrives for a day from Chicago, and Mother arrives for five days from Arizona. Holliday brings Miranda (every day) and Sophie. Rikki brings pasta shells with sauce.
Day 4 Saturday Easter weekend
March 26
Lots of neuro evals by student, residents (including one with Tourette’s), and Dr Dulaney. Cause of stroke still a mystery. Blood pressure great, no blood tests look wrong, no other risk factors. Lack of sleep and exhaustion have not been demonstrated to produce strokes.
Thumb not much improved. Leg stronger. Some wrist movement- very weak- can’t even overcome gravity. Can barely raise hand to lips. Trying for over head.
Leslie Delany, OT, gets me started with hand work, encourages natural movements. Taskmaster- but good! Nurse Paul from Newfoundland (who tells Leslie I am “gung ho”) lets me walk (wall creep) to bathroom and sitting shower (ooh), and then to my new room next door. First time I put weight on leg in three days, I want to cry, it feels so good. The feedback of moving limbs is a great natural reinforcer. Due to Easter weekend, I will not go to rehab until Monday. But the new room has a great view of the city, lake, and mountains, and a young roommate who likes his painkillers after breaking a vertebrae skiing off a snowboard jump. Swallow test is skipped when I confess to eating Brazil nuts and cashews- now I get regular food instead of mushy food only.
Physical therapist Molly O’Brien cautions me against walking and gets me going with exercises. Both OT and PT tell me how great I am doing and they then promptly raise the bar. Since my body/brain is responding, I love this. The support I am getting would make depression unlikely, but the progress, finger by finger, of recovery is thrilling.
I called Dick Bergeron and wished him and Ruth a Happy Easter. Buzz Brumbaugh called for a good chat. Brother Scott calls everyday, as does sister Jorie. Rikki brings preEaster buffet and bunny cake. Jorie sends a basket with pears. Voice is getting automatic therapy from all the talking.
Day 5
March 27th Easter
I watch the rising sun crawl down the twin spires of St Francis. Joe Jacobs stops to visit. Dr Nye checks me over, and I walk a bit for Dr Dulaney in the afternoon. We are all optimistic.
Pam Barnard gives me half an hour of OT over the phone. My body is recovering- I have a limited window of time. I am exercising as much as much I can.
My middle finger starts to move and I have a bit of a hand grasp. No extension. My arm is stronger, but the wrist still is barely moving. Leg is stronger, but no movement in toes or foot.
Lots of phone calls, good for voice.
Day 6 Monday
March 28
Student Scott Aesif answers many of my neuro questions. OT with Leslie even though I am headed to Fanny Allen Rehab. Dr Rama does discharge and van takes me in my wheelchair to rehab. Nice bright single with shared bath. Not allowed to get out of bed or chair or use bathroom without calling nurse. Grrr.
Dr Knakal in my face right off- why am I not on blood-thinner? I think he thinks I am refusing meds.
Middle finger is flexing today. I have to shake hand open in order to practice finger flexion.
Holliday and Miranda visit every day.
Day 7 Tuesday
March 29, 2005
Dr Knakal has spoken to Dr Dulaney and has retreated a bit. Still recommending warfarin and Lipitor, but the risks over 30-40 more years of life are significant.
I may have “small vessel disease”, so clot formed in brain.
Forefinger extends!! A bit. Tip of thumb can flex a bit. Wrist extension has begun.
Jeff for PT twice, Chris for OT Good guys, challenging. Chris clears me for getting into a bathub for showering at home. Lakshmi for language is not convinced my cognitive/language is OK.
Nice shower being hosed down in a wheelchair with a toilet seat. So this is how the other patients live?
Visits from Rev New, Joe Jacobs, Susan Roy, Gary Livingston, Buzz and Angelika Brumbaugh, Gerry and Wilma Maynard.
Day 8 Wednesday
March 30, 2005
The staff says my estimated release date is April 8th.
Both middle and little finger show some extension. Forefinger extension and flexion is stronger, can tap desk. Hand spread is weak but present. By evening the middle finger extension is strong enough to use driving car.
Lakshmi runs cognitive tests and says I am OK. The Browns own a canoe and have three kids.
PT twice including walk outside and up a flight of stairs. Very exciting and encouraging.
I am cleared to walk in my room. Use wheelchair to go down hall for ice cream.
Mother has visited every day with Holliday; heads home.
Day 9 Thursday
March 31, 2005
The middle finger/ring finger pair has some strength flexing, while the middle finger extension seems weaker. Maybe overworked.
Dr Woods says lifestyle MAY INDEED contribute to stroke.
Platelet aggregation study is normal. Start Lipitor 20 mg./day since lower cholesterol is associated with lower stroke risk. Data based medicine versus correlation is not causation.
Jorie arrives and plays soccer with me during PT. Cool.
Day 10 Friday
April 1, 2005
Big sex party to help normalize stroke patients during lunch. 4/1/05 ;->
Lose playing checkers in OT. Sore calf is improving.
Middle and ring finger flex is really firm, and extension is improving.
Wrist finally overcomes gravity for flex and extension.
Dr Knakal says we may move up discharge date.
Day 11-21
More notes on thumb drive- later.
( 03-24-15)I should find and upload these. I recall some interesting events in rehab.
Day 22
4-13-05
Three week anniversary of my stroke.
Probable blood clot in right side of my pons, in the brain stem, near the facial nerve nucleus, wiped out a good part of my corticospinal tract, paralyzing my left arm and leg, and affecting my speech articulation. As soon as I get the MRI images, I will post the shot that shows the affected area, about fingertip size. Unknown cause- cryptogenic. Treating with blood thinner (rat poison) and lowering cholesterol to try prevent another.
I spent five days in Fletcher Allen Hospital (UVM), and then 10 days in rehab at Fanny Allen. I have been home for a week. I have had steady progress since day 2, when I had a little leg movement recover. My thumb moved on day three. My wrist was limp for about 10 days. Toes still clench only a bit, but foot movement is growing a bit each day since day 12.
Monday was my first day back in book shop. That was a big day—
I changed Miranda’s diaper and clothes, which means my left hand is moving and gaining strength.
I walked 1.2 miles, including a short jog- not pretty, but evidence of improving leg strength and speed.
I did a sissy push-up (knees on floor). Shut up- it’s progress.
I thought I had reclaimed full foot movement and leg strength as I awoke and did a hamstring exercise in bed. Oops. That’s my right leg.
I stopped using a cane and ankle brace.
Not every day is so much progress. Yesterday I had nothing exciting to add. But my leg and hand were stronger. And I drove myself to Burlington for occupational (hand) and physical (leg) therapy.
Today I am driving to Connecticut to resume my teaching at St Joseph College.
Day 25
April 16, 2005
Yesterday I walked 1.8 miles at the end of the day. Plenty tiring. Wednesday drive to Connecticut and teaching went fine. Home at 2:15 a.m. tired. Fell at the rest area doing leg cross-overs (folk-dancing step) in the sunshine and soft grass. Rolled and jumped up.
My left hand is coming along so well that we backed up to work on the shoulder rotator cuff strength. I can barely snap my fingers on the left hand. Typing is going very well. I am finally starting to reply to many kind emails of the last month.
The sort of panic mode to recover, sleeping only six hours per night, has relaxed. As I get more whole body exercise- PT, OT , work, and walking- I am able to sleep seven to nine hours. And doing so.
Toes will now all curl halfway down on volition. Barely budge when I urge them to curl up. The last frontier of my body- toes curling up. Fingers and foot are now building strength and speed, but slowly- not the overnight amazing changes in the first two weeks of return. However, I can detect improvement every day. Length of time I can stand on left leg only increases. Ease at going down stairs without holding rail. My half mile walk today- more miles later- had only one foot scuff. The left arm and hand are seldom left hanging any more- there’s things they can do almost all the time. I stopped one-handed typing two days ago. I just realized that now- it was not a conscious decision.
My primary care doc, Fran Cook, met with us yesterday. I am out of the rehab’s official care (except for OT and PT) and back with him. He said lots of people have discussed how stroke can hit a seemingly healthy person. It scares a lot of people. His best guess is that I had a congenital anomaly in my brain vessels that finally gave out. It could be a clot thrown somewhere, and my common unclosed foramen ovali in the heart may have contributed, or the small atrial wall aneurism may have thrown the clot. But’s that’s life. We may never know. We do have pretty good evidence that lower cholesterol and blood thinner is helpful if you are prone to stroke. So that’s the life for me. At least until we get more evidence. I am also holding up my theory that a small infection might be responsible- so many heath problems we thought were physiological have turned out to be due to infections. But I can’t prove it. Good living and healthy living seem to be the best preventives at this point. More sleep (doing it), better diet (trying to do it).
I thought I couldn’t love life more. Can’t measure it anyway. But those birds in the woods sound sweet, the sunshine is warm, and a few sesame seeds give the sourdough bread a nutty flavor. Last night I picked up sleeping Sophie and put her in her bed. Life is grand.
Day 27
April 18, 2005
The party is over. My toes are flexing and extending as of tonight. This basically ends the “return” period. Basically all muscles have at least some innervation. I can build some more nerve connections through practice, practice, practice, and also build strength. I may get some slight gains in strength from returning nerves, but from now on this miracle of recovery will be mostly work work work. Building muscle strength, and learning new coordination patterns. Great to have all the pieces, even if they run a little rough and need some octane.
I received a CD ROM with my MRI scans. Nice brain. Nice arteries. What went wrong? I see the stroke area, and have mourned the loss. There’s a hole in daddy’s brain.
In perspective, I lost about a million nerve cells, and maybe ten times as many glia cells. But out of ten billion nerve cells, it’s a hundredth of one percent. Maybe my math is bad, but I’m feeling well.
Day 32 One Month Anniversary of my stroke.
April 23, 2005
The big question today is, if you get 85% of your eventual functional recovery back in the first month, how far did I get with this hole in my brain?
The answer is simply darn far. Seeing the missing nerves, having my left side paralysed, left arm and leg completely immobile, and now with my hand working well enough to pick up coins, and walking up stairs, a bit slowly I admit, it seems amazing. I have looked back over my notes, seeing how I added a finger of movement day, first flexion and later extension. The first two weeks, I would flex my grip, and then shake the arm so the fingers would uncurl a bit so I could flex them again. I have some genuine strength now in my whole arm and all my fingers. My typing is nearly as good (or bad) as ever. I can roll a quarter around in my hand. I can snap my fingers. I can tie my bow ties at near-normal speed. Today, I did five regulation varsity-level pushups. Still some weakness, and lack of coordination, but the function is there- with strength and practice, my left arm and hand will be about normal. The arm certainly looks a bit atrophied, as deinnervated muscle tissue has shrunk more than the recovering muscle has grown. Also, general muscle tone is still below normal, which also makes the muscle feel less firm. The left arm feels like uncooked chicken, while the right arm feels like cooked chicken, even with relaxed arm posture. I have normal proprioception coming back from the arm, so the cerebellum and cortex have relearned how to do voluntary movements, but the involuntary muscle tone system has not recovered in parallel. I have to look into this.
My walking is progressing more slowly because it requires more strength, I think, and the toes and foot muscles are more remote and so recover last. I am curling toes up and down, and able to isolate and “snap” the big toe. The last muscles to recover are the ones that make the feet invert and evert, rocking the foot from side to side- critical for skateboarding, skiing, and walking. I have today a little inversion, and just a faint sign of eversion. A faint sign, given the month’s experiences, is beyond hope and into the realm of likely recovery. I can walk miles, I can teach standing for hours. If I pretend my right foot is sore, my left leg walks almost normal for short while. I do not see why I cannot build strength and speed and be back to walking, jogging, and running. Even windsurfing.
I still feel strange. The rehab people remind me that my brain is still healing, not just relearning. I cannot separate out the feeling of “strange” from the weakness in my left side, including facial muscles, which are such critical features in emotional expression, and the possibility that “feeling strange” is self-perception of my brain function. Like the nature-nurture debate, this may be a bad question. However, there are times when I feel almost normal. Then when I notice I am weak or uncoordinated, I feel strange. And certainly when I pay attention to my slightly altered speech, undetected by most listeners, and the feeling of my left face and left eye orbit, I feel a bit bizarre. But I was never big on being normal. Now my self-perceptions match my desire to be unordinary.
I feel guilty. Most of my fellow stroke patients are not faring as well. It certainly was bad luck to have a stroke, to be struck. But my recovery has certainly been fortunate. I can’t say I appreciate life more- I treasured every day before- but it seems at time a bit more electric, more vivid, perhaps again simply because of my altered physical relation, I am perhaps a bit less sinister. Ha. Still, I am acutely aware that in focusing on my own recovery, I am offered little to those who were struck down more severely, and to their families, who have a greater burden to bear as a result.
But, I feel appreciative for all the support and good wishes and prayers and opportunities to re-enter mainstream life. And I feel wonderful- life can be such a gift.
I have over 700 brain scans on a CD-ROM, and I am happy to share them for teaching, etc. I am hoping to get more, maybe to see better what happened, and avoid another. Duh. Best- Rick
Day 34
April 25, 2005
Hand feels more normal every day. I did serious sinister screwdriver work helping remove electric boxes in shop next door today. Recent OT work on shoulder rotator cuff, plus lots of hand exercises, is paying off.
Walked 1.8 miles in 40 minutes, including about .2 mile jog, and even a short (and ugly) run. Knee OK.
Definite foot eversion and inversion today , and I balanced on left leg for 48 seconds. Did lots of toe scrunches in car yesterday, and eversion/inversion exercises before I got out of bed. Use it or lose it.
Day 37
April 28, 2005
Testing shows my left hand grip is now in high range for general public, and about 2/3 of my right grip. This due to grip exerciser. If only I had little machines for all the other muscles to make exercising easy. My first time ( around day 9) with the peg test was 7 minutes. Two weeks ago, I had it down to 50 seconds. This week down to 30 seconds.
Mitchell, a fourth grader at Sophie’s school sent me a purple and yellow Ford Mustang matchbox car and a Hershey kiss taped to a get-well card he made. I decided to use the car to practice handling objects with speed and dexterity in my left hand. I have been using foam balls, a diaper pin, and coins. Make good use of your gifts!
Tuesday I walked, carefully, in thick wet woods for ninety minutes on a planning commission subdivision site visit up the road. Very challenging. Paid back with improved inversion/eversion of foot the very next day.
My ride to Hartford and back was all rain, but I did not get as tired as the last two weeks. Also did not get as hoarse teaching. Better.
The trouble with getting close to normal function is reduced urgency to continue exercises.
Clonus is a shaking of a limb that is not geting normal inhibition from the brain. If my leg is tired, then any pressure on the ball of the foot causes a reflex in the spine. The jerk up releases the pressure, stops the flexion. Relaxes leg, pressure returns to ball of foot, and voila -vibrating leg, or clonus. I got clonus. You got clonus? We got clonus, who could ask for anything more?
It happens when I ease out the clutch on the car, unless I push in with my heel. As my calf muscle gets stronger, and maybe tone will return, it will be reduced. It happens any time the leg is tired.
Cutting back occupational therapy to once a week, as arm and hands muscles are all pretty well working, and I have and do a whole bunch of exercises to keep them improving. Strength, coordination, speed. Physical therapy twice a week for a few more weeks.
Day 41
May 3, 2005
Progress continues. I can do 10 Marine-style pushups. I can balance on my leg leg for over two minutes. I wore regular shoes this weekend, having worn skateboarding shoes for five weeks (wide flat soles). I can snap my middle and ring fingers, though not loudly. I moved our dog house, and operated my circular saw. Occupational therapy (hand/arm) is cut back to once a week. Physical therapy is planned to cut back to weekly in mid-May.
I worry that I may have another stroke. Strokes of unknown cause (cryptogenic) are about 40% of all strokes. The likelihood of another stroke in the next year is 10 to 16%- I need to refine that number, and make it smaller. I do not know the repeat figure for cryptogenic strokes, or one treated with warfarin and aspirin, or how age factors on repeat likelihood. If I feel the least bit odd- headache, indigestion, groggy- I worry it is another stroke. I am not normally a worrisome person, so we will see if this subsides. Remember the movie Charley with Cliff Robertson, based on the book Flowers for Algernon? He is mentally disabled, but temporarily becomes a genius with an innovative treatment discovered in the rat lab. He pours his new talent into finding a permanent solution, but regresses to his disabled state, happier but tragic. I do not want my recovery to be temporary, but I feel the desperation to prevent relapse.
I am working on speeding up my hand and arm movements now that I have strength returning.
Day 44
May 6,2005
Last night I played the first of Satie’s Trois Gymnopedies on the piano. Not well, but played. Need better everything, but especially wider hand spread. Brain still remembers the finger pattern for other pieces, but the hand is still too weak, slow, and uncoordinated to play them well. I may have to switch to tuba. Not yet ready to try the guitar.
My PT gait test still reveals the limp that I feel and everyone sees, but is much improved in speed and evenness.
I walk up and down stairs without the handrail, on the balls of my feet, but carefully. Left is slow going up.
A small cut on my finger bled for about two hours. I get small blood clots when I blow my nose every morning. I do not like warfarin.
The cardiologist Dr Battle I saw yesterday recommends lots of vigorous execise, in low-risk sports, with a helmet, to avoid blood clots, and keep my cardiovascular system healthy. And warfarin for now. Also recommends getting into a study that will afford the opportunity of closing my PFO and ASA. Unlike my neurologist, he thinks that a clot from outside the brain might well have caused the stroke. A venous bomb he calls them. He and I have both seen a good study that shows that closing the PFO reduces the risk of a second stroke from about 15% to 2% in the year after the first stroke. He does agree with my neurologist that a lifetime of warfarin should be avoided, but that a few years of it until we get my PFO closed, and learn more from ongoing research, is reasonable.
I can do 14 pushups. I bought some hand barbells. My PT says no windsurfing yet. Risk of injury is too great when I need to be using the neuro recovery window. He suggests I find some summer and fall goals as intermediates to my intention to be trained for the Sugarbush Triathlon next Spring.
Day 47
May 9,2005
Today I ache more and feel more tired on my right side than my left side. Why? Yesterday I baked three choclate cakes (Maple chocolate, rum chocolate, and chocolate chocolate) for coffee hour, sang in a morning concert ( Anthem Sunday), organized the shed, rototilled the garden, rode my bicycle a short way up and down our ten percent grade road (yes, I wore a helmet), and stacked firewood. I was purposefully testing the limits of my gross work stamina. I think both left and right sides worked at close to 100% pushing the Troy-bilt, etc. I could feel more burn on the right side yesterday. Is this because many of the left side intramuscular sensory cells are no longer in functioning muscle cells? The muscle cells that have innervation are growing as I recover strength on the left side, and the motor neurons are collateralizing to that new muscle growth. Are the old sensory cells basically left without function in the atrophying muscle cells? So the left side will grow strong, and not feel fatigue? Cool. But not so. Both sides are tired, just less than expected on the left.
It felt really good to do an afternoon of hard work and then take an evening walk with wife and baby, and then grill some dinner and fall asleep on the couch. I may feel like raw chicken, but I ate toasted cashew cole slaw and pork tenderloin.
Day 51
May 12, 2005
I jogged for about 1/3 mile in the middle of my walk last night. Not pretty, but jogging. I also tried my guitar- not so good- plenty of room for improvement, like the piano.
I wrapped a tape measure around my calf and several places on my thighs. The left is about 3/4 to 1 1/2 inches smaller in circumference. Maybe it is has been smaller all along. But I think it is atrophy. Muscle dying off faster than I am growing new muscle in recovery. No wonder my leg feels crampy.
Both physical therapy and occupational therapy are cutting me back, once a week, and less often by the end of June. They say I am doing well functionally, and doing rehab stuff on my own at home and do not need to come in often. I jogged in the hall for PT. Since it felt insecure, I found myself leaning back,like when I am on skiis and want to fall back on by butt rather than forward onto my face. Interesting transfer of falling strategy.
My brain is so close, yet seems so far away. I can’t get in there and see what happened, and what’s about to happen. A true brain teaser.
Day 57
May 18, 2005 8 weeks
Gone three days to Maine and got grades in for 60 students. Walked and jogged on beach; too cold to swim or windsurf. There were a couple days where I would be hard pressed to identify rehab progress. Occupational therapy cut back to every three weeks. Walking is better, and PT went over jogging and running. Looking to climb local mountains this summer and get a good time going on our 4 mile loop.
Turning to stats. My standard 1.8 mile walk: 29 minutes, about 3.6 miles/hour. Ran the pole-to-mail-box sprint in 29 seconds. Not wiped out by walk. 15 push-ups. Lots of hand weight work, and fast hand exercises.
Guitar is improving already. Not sure how to measure yet. Voice lesson revealed no big deficits, but shift in body tone affects voice and causes strain as much as actual nerve changes to larynx.
The real news is that I can skip again. Both the regular skip-to-my-lou, and the fancier but easier for hemiplegics one from the Wizard of Oz. Not pretty. But it is skipping. Is there no end to the delights of recovery and healing?
Where is fancy bred, in the heart or in the head? As quoted by Willy Wonka. Fancy as in desire
Where is recovery bred? I have been saying it is part biological healing of injured but not killed nerve cells in the corticospinal tract, part natural activity, and part prescribed exercise to isolate and build muscles. Today I realized that like most variables in nature, these do not add up, they multiply. Therefore it is nonsense to think one is more important than the others. All are critical, as much as the numbers two and five are equally important when multiplied to make ten. NO, not equal. Both critical. Without biological recovery, my efforts would be futile. Without effort, the biological healing would be unnoticed, and my arm and leg might be unmoving and atrophied even though reinnervated. My right and left arms are brothers, my legs are a pair, my anatomy and physiology, my strength and my function, my fear and my desire, these are not parts, they are partners.
My thesis is that we see more right side strokes (weak left arm/leg), because left side strokes tend to be more disabling (speech etc.) and they don’t come out in public. And the really bad strokes we never see at all, just a funeral. I’ll check it out in the huge stroke literature when I don’t have weights to lift and wood to stack.
Day 59
May 19, 2005
Walked/jogged my 1.8 miles in 24 minutes, and my “sprint” section in 24 secs. Nice shaving in a couple days. Running shoes instead of skateboarding shoes. Light instead of dusk. Jogged .6 miles continuous, albeit downhill
Kicked the partly closed car door shut. Kicked.
Mowed the grass. Lawnmower. Simple joys. White paint and a fence anyone?
Yesterday I bought a used windsurfer with a couple masts, adjustable boom, and three sails. Optimism.
I read Miranda book on the bench in the sun in front of the shop, and she yanked her first handful of grass.
Day 60
May 21, 2005
Your 60 day trial period on your new Central Nervous System is now ending. We hope you are satisfied with your progress. Please renew your contract with your choice of 10, 20, or 30 year period. Thank-you for stroking at brainpopped.com.
Too tired to walk. Jogged most of the 1.8 miles in 23 minutes, sprint section 23 seconds. Something fishy going down with these numbers.
Bad numbers found last night. About one third of the half million strokes each year in the US are deadly. In urban areas, the Emergency Rooms are trying to get stroke victims to the hospital and through the MRI within one Golden Hour in order to use clot-busting drugs safely. Recurrence rate is in 10% range during first year, and drugs don’t seem to affect this number much because other than an aspirin a day, most drugs have been been proven better stroke preventers. Journals also seem to show that surgery for bleeding strokes does more harm than good. Really.
Brought home my new(used)Tiga Sprint windsurfer with two masts and three sails. Now there’s some feel-good news. Thinking 4th of July weekend.
Day 67
May 28, 2005
I have been kicked out of weekly physical therapy. Like my now-every-three-weeks occupational therapy (hand arm), my PT Eric says my changes are now slowing and I am doing what I need to do on my own. Taking a three day seminar in Hartford on methods for teaching on-line, helping Rikki move from Wellesley to Holliday’s mother’s house in Boston, and preparing for chorale concerts this weekend, have left little time for jogging and skipping. On the other hand, the rest to those muscles and joints gives me a chance to assess.
How are you feeling? The physical measurements of strength, speed, and coordination are one bottom line. But how does it feel? Because my stroke was brainstem and not cortical, my thought processes and communication seem fairly unchanged. The strong emotions at the time of the “accident” have mellowed out. Some metabolic things seem shifted- I frequently sneeze after a cough, and often sneeze twice in a row. This is new. I have gained five pounds, maybe due to inactivity, but that seems a stretch. When I have to got to the bathroom, I have to go, NOW. That’s different. I still feel like me, and with continued improvement I expect to regain 100% of my activities, maybe with a few modifications. That’s how I feel. My left arm and hand FEEL pretty much like my right. That frustrates me in that the left leg does not FEEL like the right– progress has been slower there, perhaps because it is harder for me to exercise the leg as I drive, chat, etc. On the other hand, I KNOW that my life needs to change- more rest, prepared for another stroke, pills, reduced coordination even if I get strength restored or even improved. So, it is an interesting crossover from feeling very paralyzed and weak, but thinking I would be fine soon, to now feeling more normal than I believe myelf to be. Tis a balance.
I bade farewell, by chance meeting, to my in-patient OT who is off to DO school in Maine. I recall with deep appreciation the early days of recovery, when picking up a coin seemed impossible, when fingers and foot just did not move, when he and other therapists and nurses constantly praised my progress, and urged me onward. Like Chris, each had a different style, and different bag of tricks. Yet they all shared the ability and drive to encourage me to re-engage life. And here I am doing weekly instead of daily updates because I am so busy.
Yesterday I poured concrete to fix the steps at the Bundy, did some carpentry, worked at the bookshop, transferred Benny Goodman in Moscow, 1962, to CD, helped the Masons with security at the Baked Beads sale, and broiled lamb for supper.
Day 71
June 1, 2005
Dropped my 1.8 mile time from 23 minutes last week to 20 minutes tonight. Sprint section was unchanged at 23 seconds.
Two month follow-up with neurologist was uneventful. Dr Quick, the resident who admitted me, said to follow Dr Battle’s advice and stick with the warfarin to thin blood, and I can stop the aspirin as long as I keep monitoring the warfarin (weekly blood draws to measure INR- blood coagulation). He was pleased with my functional progress. He easily evoked brisk reflexes and clonus, demonstrating less than full recovery from the stroke. I call this decreased tone; he calls it increased tone; we’ll discuss tone another time. He said the MRI at Fletcher-Allen is the best in New England for resolution (3.0 Tesla), and because of the way the brain resorbs infarcted (dead) tissue, we would not see anything more of interest if we repeated the MRI.
My guitar playing is improving, but I do not have an objective measure. I even have a couple bar chords working slowly. The goal is to recover all my prior repertoire of chords. Then on to the ukulele and piano.
Saturday and Sunday I successfully risked bleeding to death by cutting copper flashing to make metal sign letters for the Bundy art gallery where my chorale had a concert. Before the concert I used a sledge hammer to install parking fences. Rikki, Sophie, Miranda, Holliday, and half the people in town were at the concert; what a treat.
On the other hand, I lost track of the date, and almost convinced myself that May has 30 days. So I got nine hours of sleep to catch up and think straight.
This weekend we go to the U of Chicago Reunion, and I will lead my fraternity in the IF Sing competition. Little hope of the trophy two years ago, but I’ll be pleased to teach and lead well. “Like Rare Old Wine is Friendship to Me.” “ Fiji Rose” “To Delta, Drink Down.” Staying young? We will see my family, Sophie is aching to see her cousins, my family is aching to see Miranda, and everyone will sniff me over to see what the stroke snuffed.
Day 78
June 8, 2005
Yesterday, I was discharged from out-patient occupational therapy, and moved to three weeks between physical therapy visits. My hand squeeze and finger pinches have all improved and moved into the normal adult range. My left-hand nine-hole peg test has gone from seven minutes in the first days of rehab to about one minute when I started outpatient rehab to 20 seconds now. Right hand is at 19 seconds.
I am “stuck” at 20 minutes for my 1.8 mile “walk” tonight but it was now over 90% jogging.
Hand open/close in ten seconds, 38 right, 28 left
Foot taps in ten seconds 41 right, 29 left
We flew to Chicago, running over our 13 year old dog Nick in the driveway at 5 mph as we left. I had to bury him- renewing my shovel skills and stamina. Perhaps he had had some strokes too as his reactivity and motor skills seemd impaired lately. Very sad, and his brother Jingle is not doing well at all. My left arm got sore conducting the UC Fijis to a Spirit trophy in the Intrafraternity Sing competition. Miranda met many aunts, uncles, cousins, and friends in a short visit which included my pledge son Jim Kaplan (pizza at 2:00 a.m.), colleague Kit Jones’ family and my PhD advisor’s widow, Betty Goldiamond. My mother and brother Tarquin had last seen me unable to stand or walk, so this was a sweet display of return to normal.
I swam for the first time post-stroke, at my brother Scott’s house and again with Ford and his family at a public pool. While walking and jogging have been awkward, they were triumphant. Swimming was weird. Swimming requires more carefully balanced proprioception of arm and leg position and water flow. My left side has disturbed proprioception, combined with reduced strength and coordination. I look forward to it improving, and finding some objective measures to go with my subjective sense. I did however do the side, crawl, and breast strokes- forgot to check the butterfly.
13-year old daughter Murilla arrives from Honolulu tomorrow for short summer visit and to meet Miranda. Will she even notice that I had the stroke?
Day 88
June 18
Almost three months. Progress distinctly slowing. 1.8 mile walk jog is down in the 19 minute range, from 20. Sprint section down to 22 seconds from 23. Extreme heat, then rain, other activities, meant only one run though. Hand open/close and foot taps unchanged. However, guitar playing distinctly improved- almost clean chords for keys of C and G, with only a little practice. Walking has less limp. Leg still cramping- atrophy and growth. Clonus still on car clutch or when tired.
Put Jingle down June 15, he was barely able to get up to eat, breathing hard. Besides pemphigus (automimuune, like lupus, called collie nose) he had something going with his lower spine- incontinence and then the legs weakening. Getting him up to the pet cemetery and buried was aerobic and emotional.
Murilla(13) is here for two weeks from Hawaii, with limited sivisits to see us. Tennis and batting practice with her.
Officiating at a wedding today. At the rehearsal the bride’s father asked about how I explain my recovery. I was tempted to blurt, “Love”. A pat and saccharine answer. But my love of life and my family was a major motivator. So was my love of solving a problem, of teaching myself something new. My species’ love of life has endowed me with mechanisms to overcome, work around, recover, rehab, and otherwise generally survive some strokes. The love of science and caring for others motivated the medical and rehab professionals. The love of community by my neighbors provided an ambulance service and support for my family. The love of friends and colleagues provided visitors, encouragement, food, and connection to life.
I can clap now with my left hand hitting the right, not just right hitting left. Yea!
Day 92
June 22 Feast of Saint Thomas More
(Thomas More was the “Man for All Seasons” in the Academic Award-winning film. Henry the Eighth’s conscience, the nation’s conscience. He wrote “Utopia”.) At the summer solstice, and my own three month mark. I think with continued training, I will regain at least 50% strength everywhere, and over 100% of previous or normal strength in most muscles. I continue daily hand, arm, and leg exercises, though if I did more I would be more improved. Life is just so busy. But that’s good too- in fact while my recovery may be delayed somewhat for lack of weight lifting and rubber band pulling, it may be that the daily typing, walking, stairs, coffee maker, driving, book wrapping, baby carrying, and so on are just as important.
Improvements. My 1.8 mile tonight in 18:30, perhaps due to cool weather or new runing clothes for Father’s Day from Holliday. (Easy clonus after run.) 33 left hand open/close in 10 seconds- been doing lots of exercises and carpentry. Also 32 foot taps on left. Slower progress, but real progress.
New hinged and steel-covered hatch on silo roof, finishing electrical and trim on fourth floor of silo. Stairs suddenly felt more secure and faster up and down yesterday. Not normal, but a step (haha) faster.
Appointment at Dartmouth tomorrow to consider PFO closure. Taking MRI print-outs, and copy of Transesophageal Echocardiogram from 3/25/05- at last I get to see it. Thin stream up bubbles inserted into my vein, to see how much blood(with bubbles) crosses through the PFO. INR at 3.1, so cutting back on warfarin. 7.5 mg daily was too much.
Day 102
July 4th, Ogunquit, Maine
I went windsurfing today, after building a canoe rack on the river bank. Not pretty, and pretty humbling. But I was skimming the waves a bit Swimming feels normal- yes I fell a lot and had to swim.
12 pound salmon on the grill, mapled sweet potatoes and onions on the grill, cassis (currant liquor)-chocolate sauce on black raspberry ice cream. Forgot to do peas, and no time for rhubarb strawberry pie. Fireworks cancelled due to money quabbles or plover nesting- you guess which.
I really used my PHD today. Post hole digger.
Day 115
July 17, 2005
Survived Harry Potter release, painting, mowing, summer busy and business. Life returning to normal, though I am still weak and have leg clonus when tired. Too hot to run.
I signed up for PFO closure study at Dartmouth. Nationwide trial of second-generation device that is like two little umbrellas that clamp together over the opening between the right and left atria. The heart tissue then grows into and around it. This would prevent clots from legs getting to brain- they would get filtered out by the lung capillary bed. The Starflex device goes in through the leg artery. Looks like I qualify for the research, so they will roll a dice and see if I get the PFO closure, or go into a control group that gets continued “best medical” treatment, which is blood thinner at this point. If I am in the control group, and the research demonstrates in a few years that the closure actually decreases strokes, then I would receive the closure. So it is not clear which group to hope for, because we do not honestly know if the closure works. There is some data with the first generation closure that it works, but that was with a narrower group of stroke patients.
It is a miracle to heal, but it is also important to accept that it could happen again, that dodging this bullet does not impart invincibility. When I think how severe the stroke was initially, I remember the movie The Hustler. Paul Newman is playing pool with Jackie Gleason. After a great run of shots, Newman has no good shot, so he plays a “safe”- putting the balls in an even worse position. He turns to Jackie Gleason, and says with a smirk, “I didn’t leave you much.” Jackie Gleason studies the pool table for a minute and says, “You left enough.” He then proceeds to cream the brash kid. That’s how I feel about my recovery- with a lifetime of experience, and medical and community resources, the stroke took out a lot of my left side neuromuscular function. It did not leave me a lot. But it left enough.
Life is changed. I am on meds. I feel weak and uncoordinated, less so once I warm up for activity. Probably the tonal balance is doing that. My double sneezes have decreased. My weight seems to be shifting back down the five or so pounds it crept up. My leg cramps are minor unless I run or mow hard. So at a time when I would like to keep exercising and fine tune my stride and strength, I am playing major catch-up, but in slowed motion. I think about other things than recovery first thing in the morning
Day 122 Four months since stroke
July 24, 2005
I jogged most of the 1.8 miles in 19.5 minutes; it’s been too hot to run regularly. Sprint section at 19.0 seconds.
Working arms and hand mostly for speed. Playing guitar better, not well. Starting playing baritone horn- small tuba- both for fun (maybe a tuba/baritone Halelujah Chorus at Forbidden Christmas) and because it helps develop lung volume, which typically declines with aging. Amazing– I haven’t played since 8th grade, but I still recall the fingering for the C scale. Tried to chain saw today, but it wouldn’t start. Doing carpentry- bathroom and pantry shelves, and finishing the fourth floor of the silo. Made an oak bed for Rikki’s room. Able to assemble Lionel train set for friends’ kids visiting from Germany. Did a wedding yesterday, went fine.
Less clonus. Less left sag when starting to walk.
Cardiologist with PFO study at Dartmouth confirmed that heavy cardiovascular workouts are key to health and stroke prevention. I am signed up and waiting for roll of dice to see if I get device to close hole or continued “best medical care”.
INR (clotting) is supposed to be maintained between 2 and 3 on warfarin. Mine spiked up to 4.1 (too thin blood) two weeks ago, so we are fiddling with my dose. Green salads (vitamin k) block the warfarin, so that is the variable we suspect.
Getting one third (four months) through the dangerous first year post-stroke feels good. (Risk of second stroke drops from 10% first year to 5% second year- these must be rough numbers, but they tell a tale.) Heavy exercise or activity (lawn mowing) are good for both rehab and prevention.
Day 137 4 1/2 months out
August 8, 2005 Feast of St Dominic
Last weekend, I went windsurfing and did almost as well as I usually do. I bicycled a lot at Chautauqua last week, and feel that has returned to normal, except for strength. Swimming feels comfortable. I just finished teaching my first on-line course, one I invented called Psychology of Fear. My 1.8 mile run hovers just under 20 minutes. Feeling very good, still a bit strange and weak in leg, but walking limp is fading. I took up baritone horn to strengthen my face and keep my lungs working. I started up my chain saw today, and felt secure, but did not cut because I was home alone. Arm strength still improving, guitar needs work which I will do next week at Moose Lake. Chain saw! Heh heh hey!
September 2, 2005 about 5 months out
Great summer- swimming, running, working. Still gaining strength but slowly. Playing baritone horn has firmed face muscles. Fewer incidents mis-swallowing water. Miranda is 9 months old and at book shop with me three days a week starting this week as Holliday goes back to work three days a week. Life is taking over from recovery mode. Up this month for randomization in the PFO closure study. Either I get continued blood thinner, or I get the hole closed. Back teaching at St Joseph- feels good. My foot flops when I run, but my walking limp is almost gone. Hurt my back tossing logs while chain sawing. Then hurt it again moving boat at Moose Lake. Nice to be strong and coordinated enough to hurt my back, which heals in a week or two. Last hurdle I see is a cutaway dive on the diving board. (Back to pool, standing on end of board, jump up and out, turning toward board, and dive into water below board without scraping back on board, or hitting head on it.) I belly flopped one in July and have not had the nerve to try again.
September 20, 2005
I have been “randomized” to the control group in the PFO closure study. I continue under “best medical care” which is blood thinner, lower cholesterol, and exercise. In one to three years they will have enough data to know if the little umbrella device that closes the PFO really works to prevent strokes. If so, I may get “closure” then. I am not disappointed, because we really do not know what is best- that’s why we are doing the scientific study. So we will be watching A. the closure study, B. studies on warfarian/coumadin versus aspirin, and C. other explanations for all the “cryptogenic” strokes.
Sept 23, 2005 Six months out
I’m still here. No second stroke. Wearing normal shoes, with some weakness in the left leg. Left arm and hand feel 100%, but guitar playing still not fully recovered. Left eye can wink, face feels normal, just a bit of trouble swallowing water into my lungs now and then, and occasional stutters.
I can run, use my chain saw, use my carpentry tools, windsurf, canoe, and swim. I am getting faster on stairs, up and down, especially the curved ones in our silo. I can handle baby Miranda just fine, drive with playing the baritone horn (without its bell of course, don’t be silly). Two weeks ago I managed a cutaway dive at the pool in Ogunquit, and enjoyed body surfing. So while I am still recovering, and still weak in some ways, I have returned to doing everything, including some things that take some coordination and speed. I can’t wait for snow, but I feel sure I can ski.
Sometimes I even forget that I had a stroke. This is good and bad. Good that I am recovering. Bad in that I need to compensate at times, and I need to remember that I bleed easily, and am risk for another stroke.
I am still in awe at both my recovery and the support I received. It seems like a dream. I have to remind myself that if I had not tried hard, not had the expertise, and the emotional support and encouragement, I might still be partly paralyzed or limping badly.
I am frustrated not to know the cause, to be uncertain about a second stroke, to be still behind in work I had lined up- academic, volunteer, book shop, house building. But I am getting caught up, and when I get some time I will comb the literature again to see if I can better understand how to avoid another stroke. Lightning DOES strike twice in the same place.
I have taken on some new projects- teaching on-line this summer, learning the euphonium (baritone horn), building lighting poles for my Masonic theater group, writing a physical science curriculum to parallel the parent-taught environmental program at Sophie’s school (ELPH2 for ELF), and organizing an on-going (I hope) Free Friday Movie Night for the community. I am pleased that I can initiate, conceptualize, and execute projects that require both intellectual and sensorimotor skills. Given the location of my stroke in the descending motor nerve, it is no surprise that this ability was spared. To make time for my family, and new projects, I have let go editing my church newsletter, which frees up a lot of time each month. I have taken to walking in my woods each morning for 15 to 20 minutes, clearing paths, finding stone walls, and noting trees that I had not noticed in twenty years of owning the land.
I feel I have not been thankful enough to the ambulance, medical teams, rehab teams, nurses, dinner providers, choir members, colleagues at St Joseph College, family members, card senders and well-wishers who have inspired, motivated, and supported me. If you are one of those reading this, I hope you know that even if I have not looked you in the eye and thanked you directly, I have been grateful. I am sure there has been some help behind the scenes that I have not imagined or seen. Thank you too.
I am in a control group to see if PFO (with ASA) closure is effective at reducing cryptogenic stroke. It is humbling to be in a control group, rather than on the cutting edge of trying out the new device implanted with high-tech surgical manipulation. Such is science. I will bet that the device works, but leaves lots of room for other methods to prevent stroke. I am guessing (hmmm, the man behind the curtain is speaking) that PFO closure will cut cryptogenic strokes in half. So if I get he device in the future, it will cut my annual risk of stroke from five to three percent, and getting off the warfarin would reduce that two-three percent annual people who have serious problems from the warfarin. Meanwhile, I am trying to be a cardiovascular jock and prevent a stroke that way, and live life to the brim. It turns out that Socrates famous quote is NOT that the unexamined life is not worth living. A better translation is that the half-full life is not worth emptying. Also his quote “Of this much I am certain, I am certain of nothing.” has been mistranslated and should be “I know less than you do, but you know so little, I try not to embarrass us about it. ”
Sept 24, 2005
1.8 mile run is down to 17.5 minutes- more running, less jogging.
Nov 7, 2005
I was kicked out of physical therapy on Oct 19th. Cramping legs improved with stretches Eric showed me at last meeting. Still improving my walking, limping only when tired. Guitar is improving, but little practice time. Swallowing has improved. Teaching going fine. Family great. Almost wish to deny I had a stroke. Waiting for snow so I can ski. Meanwhile, stairs descents are getting better. Able to walk all over and up and down New York- subways, museums, apartments- this weekend.
Dec 7, 2005
Tomorrow I head out with my brothers for a few days skiing at Scott’s Snowmass condo- a bit anxious about control and endurance. My walking has been great, but still fatiguing fast when jogging or at the end of a day. Almost no trouble with swallowing. Left arm and hand strength is noticeably improving due to carpentry and other activity. Forbidden Christmas was fun- I played Santa’s lawyer, and built a smoking sleigh crashing into a pond, and found some confidence handling high steps in the dark. Voice fine, just very tired after two classes every Wednesday, probably no worse than before stroke.
2006
Jan 18, 2006
I can ski. I can shovel snow. I can haul firewood. I can cut down and put up a Christmas tree. I continue teaching at St Joseph College today. I am using my stationary bike to do SOME exercise daily, as normal life has taken over rehab efforts. I see espeically with this broken toe how an injury during early rehab would have been a disaster.
I have lots to say, but have no confidence we are being given the real story of Ariel Sharon’s recent massive stroke. He had a mild clotting stroke in December. If he was going in for PFO closure, the doctors would have taken him off Coumadin and onto something like heparin a few days before, which is when he started to bleed. The heparins are short acting and reversible, so bleeding can be controlled during surgical procedures. I suspect this bridging medication provoked the bleeding stroke that has disabled Sharon. Again, I have no confidence we have been told the truth, so my hypothesis is just that.
April 4, 2006
I missed posting a one-year anniversary update because I was skiing in Colorado with two of my brothers, our wives, and our six kids. It is the annual ski trip I missed last year due to stroke. I skied five mornings, and my technique improved, like when I recovered swimming last June. I took care of Miranda in the afternoons so Holliday could ski. My old 205 cm skis work fine, but I had more fun with some shorter shaped twin-tips. My left leg just cannot hold edge or control as well, but I had fun. Both legs tired easily.
One year snapshot. Speech is fine, occasional hesitations. Occasionally water goes down my trachea. My left arm, hand fingers feel completely normal, and back to strength etc. Guitar playing would be almost back to normal I think if I had been playing. Left leg, foot and toes still feel weak and slow. I can walk without a limp unless tired. The foot slaps down when running. I need to invoke a more strenous training program if this is to improve- daily living has not sufficed. I have no activities to recover now that skiing is pretty well recovered. It is the weak leg and overall conditioning, which I think is down because of the left leg.
I am still in a PFO closure study as a control subject, and still on 5 mg of warfarin (Coumadin) daily to thin blood, and 20 mg daily of Lipitor to keep cholestrol down.
I have not had a second stroke. Risk was 10% the first year, and now drops to roughly 5% each year. This is good. I am well.
1 July, 2006 Life is good. Daughters are all healthy and wonderful. Sang in the five-man chorus of a professional production of Barber of Seville last week. Teaching Psychology of Art on line- “lectures” on rhythm in art, facial expression, parent-child relations, intimacy, and so on. Sang in a MRC Broadway review, with small Urinetown and Les Mis solos. Directed my college fraternity to a Best Overall Trophy at the Interfraternity Sing. Able to get a little woods-work done. Stuck at about 20 minutes for two mile jog. Guitar playing is pretty good when I practice. Several people have commented that they see me limping. Perhaps mostly when tired, but perhaps I am less focused on walking well. Maybe losing some strength- if so I wonder why- is the brain still adapting, leg muscle still trying to balance? After fifteen months, I am not used to it- I still get out of bed and cannot do what I think I should be able to in terms of walking steadily, standing on left leg to pull sock on right.
For Father’s Day I bought a pneumatic stone chisel. No end to my folly. Yet. And Holliday is a saint for tolerating it.
16 September, 2006 In August, Miranda, Sophie, Holliday, and I put the canoe and Sophie’s bicycle on the car, and drove to Wisconsin for a wonderful week at the cabin on Wolf Island in Moose Lake, then to Chautauqua for a week of lectures, performances, and friends, then back to Chicago for me to receive the 33rd degree in Scottish Rite Masonry and spend more time with family, then to Connecticut for the first day of classes at St Joseph College. I walked into my second class fully prepared to teach the wrong course. Absent-minded professor. Starting in January, I will teach only one classroom course, and devote my time to teaching an on-line core course for liberal studies majors, and coordinate the on-line liberal studies program. This appears as a challenge for me, new territory, in terms of coaxing faculty to develop on-line courses to improve the offerings to students, recruiting and advising students, converting my own courses to on-line, and shaping what the Liberal Studies major is. Once again, my interest and education in many fields will be helpful.
I have tried to invent some new exercises for my anterior tibialis, which is allowing my foot to slap when I run, and a new combined knee bend heel lift for any time I am standing around. And I am trying some standard calisthenics for conditioning, and variations in my running routine which were suggested anonymously by someone who was browsing this site. (Thanks!) A week ago I was able to walk with the Fayston School to the top of Mad River Glen.
In late July, I met with stroke specialist, Dr Gorman, at Fletcher Allen. After careful review, he gave me the option of switching to aspirin from warfarin. I decided on the aspirin as it has less potential to cause problems, and studies indicate for my situation it seems to work as well as warfarin. The switch was approved by the stroke specialist at Dartmouth, where I am a control subject, and my primary care doctor, and my wife. I do not notice much difference after a month, perhaps less bruising and bleeding. I had a wisdom tooth pulled in late August, and the bleeding was controlled quite normally.
30 December, 2006 Doing fine. Some lower leg exercises which I can do in the car and shower seem to be helping a little. Daily sit-ups and knee-bends help keep my leg tone. Still experience strong clonus (shaking) when nervous on stage. Dartmouth med students were interested in seeing brisk reflexes in an otherwise active healthy-appearing person. (They were touring the neurology department and I was a volunteer “patient”.) Discouraging how quickly my conditioning relapses if I do not keep at it daily. Age? Family doing fine too. More next year.
February 2007
On account of a conversation with a physical therapist at a party on New Year’s Day, I am shopping for a Stairmaster to improve my leg strength. She said in 90 days I could see real improvement. While I continue to shop eBay and yard sales for a Stairmaster, I have started a routine that involves sit-ups, step-ups, toe presses, one-leg and two leg knee bends, toe lifts, hopping, and the necessary stretching to keep cramping limited. It seems to be working- I limp less, stand one-legged longer, less clonus, etc
Review of my MRI file with neurologist Mark Gorman at a recent routine check-up suggested we have another look at the anomaly in my vertebral arteries, one of which is much small and terminates in an unusual way. It was originally noticed and read by radiology as not a problem. If a closer look shows a problem, there is probably not much to do about it, but it might save an unnecessary PFO closure, or suggest a different prevention strategy,
My anti-cholestrol med, Lipitor, runs about $3.00 a day. I found a supply from India for a generic of same drug, at cost of about 60 cents a day. Packaging looks professional. I’ll try it for a month and have my cholesterol rechecked to make sure it is working.
It seems outrageous to be trying to regain 100% strength and pinch pennies on meds. I am lucky to be alive, and functional. I am raising my kids and driving my wife nuts. I am so lucky to be starting a new venture as director of a liberal studies program, and taking on job as drama director for my Scottish Rite Masonic group. My family ski movie has been a hit with the family. The limitations from the stroke are not holding me back. Nonetheless, I fell driven to hammer at everything. Partly I want to feel whole when I wake up. And partly I hear Dr Nackl saying if you can be at 30% and feeling good, but then if you lose a few percent (below a magic 28% I think he said) you lose function.
I’ll report in after our late March ski trip.
March 23 2007 TWO YEAR ANNIVERSARY
I am still making progress. First I want to thank everyone who has helped me continue to recover. My initial gratitude is to my family who has been universally supportive, the ambulance crew, my teachers who taught me to recognize the appropriate way to react to my symptoms, the medical professionals that treated me, tried to track down the reason for the stroke to prevent another, and provided rehabilitation expertise. People in our community were supportive and helpful- with food, rehabilitation suggestions, emotional support and encouragement. While the need for all those things was most critical in the time right after the stroke, I want to say that my appreciation has not diminished after two years.
That support continues from the medical professional as I regularly re-evaluate medication, progress on the literature on stroke, my MRI images, and rehabilitation methods.
On Jan 1, 2007, I embarked on a much more strenous program to build strength in my weak left leg. Not wishing to buy the recommended Stairmaster, I instead began a series on knee lifts (3×100/day), toe push ups (3×100/day), and knee bends (3×100/day) in addition to my sloppy usual exercise regimen. The improvement in leg strength as the three month initial period ends is striking. I still limp, but less, and the leg feels stronger in a number of common tasks. I expect to see improvements in my skiing this week.
I am tired in the evening, which I blame on the stroke instead of my age and daily activity. Perhaps the stroke has become my whipping boy. It sure is good to be living life fully
October 23 2007 Two years and a Half
I am amazed that after two and 1/2 years, I have not habituated to the weakness on my left side. Perhaps I am perceiving the asymmetry with the right, unlikely since my left and right arms are quite asymmetric but feel normal. Perhaps I simply recall what it felt like. Perhaps I am detecting the errors in balance and position as I move, since lying still feels normal. Perhaps the core kinesthetic feedback circuits are not as plastic as circuits for learning or forgetting activities. Always trying new exercises, most recently kicking as high as I can in the shower, with tile marks as goals. Just started Bikram yoga- strength, stretching, and coordination. This week I put on a right sock while standing with right leg on left knee. Progress!!!
Jan 14, 2008 Stubbornly determined to get as close to normal as possible.. I am back in physical therapy with Joe Grant at Back to Action. He has given me lots of exercises to strengthen the left side (torso AND leg), and improve balance and whole-body coordination involving the left side. Significant progress already. Weights and steps in my fourth floor yoga-exercise room with 360 degree windows at tree-top. Stationary bike which starts the morning is downstairs. Great to get the body into full gear to start the day. Typically we reach peak in midlife, and then slide down to eventual demise. By trying to get my performance back up to normal, I am improving my life now, and extending it in the future by pushing the curve back up. Both worthy of the continued effort. And all useful for preventing another stroke.
March 23, 2008 Third Anniversary of my Stroke
I am on the Snowmass ski trip I had to miss due to my stroke in 2005. This is the third ski trip since then, and each finds my skiing better. I am somewhat focused on teaching my three year old to ski- but I am in better shape than last year. Continued exercises, supplanted largely by rehab exercises and yoga stretching and stationary bike, have me feeling more normal, though the altitude and stress of travel- heavy bags, poor sleep- accentuate my clonus and limp, against which I have made such good progress.
My goal is still to have my left leg and foot feel and operate as normally as my left arm and hand. I know the loss of motor nerves may make this impossible. I may always detect an asymmetry and weakness. I continue to make progress, some from persistence and slow dogged determination to keep trying, but some from unexpectedly directions. So I will not give up this goal.
A second stroke is off my radar, but I have a thumb-drive around my neck with my medical records. I continue my meds- the latest atorvastatin was purchased on-line from Texas and made in India. Continued compliance has not been a problem. I probably should be better prepared for another stroke, but life goes on. I would not be able to continue exercises except that I can do them while cooking, showering, brushing teeth, talking with customers, watching movies, etc.
Saliva and water slipping into my trachea is still a problem but seems better, perhaps I should be recording it diary fashion. The clonus has definitely improved since restarting rehab. When it does occur, I tackle it with either strength or shifting the pressure on my foot. I still feel emotionally more labile– more easily brought to tears or laughter. This may be due to my brush with mortality, or a neurological side effect. I am sure my reflexes are still brisk.
Even if my improvements are very modest, the risk of slipping backwards and shortening or shrinking my life is motivation to continue the effort to beat back the stroke symptoms. I continue to be thankful to my family and rehab people for the inspiration and mechanisms to continue the effort.
Sept 23, 2008 Three and a half years post-stroke
Still making gradual progress toward normal leg function and swallowing, the remaining noticeable deficits. Good posture solves the swallowing. Slouch and choke. The leg continues to surprise me- I could not control shaking with any of my tricks recently during an emotional public presentation. But more than ever, the clonus is under control. I try to start each day with a few minutes on the stationary bike, then a combination of yoga and PT exercises. Just ten to fifteen minutes helps the leg feel closer to normal.
I have been helping a neighbor who fell from a horse in June and damaged her spine at C5. She is largely paralyzed from neck down, and the slow modest recovery makes us less optimistic than at the start. Because she has no family other than a teen adopted daughter, three of her friends are trying to help her manage her recovery and her life, with help from about 70-80 additional friends on our mailing list. She requested my involvement because of my successful stroke recovery. Her accident is much worse than mine, involving the whole spinal column rather than “just” the left side’s motor tract. It has been a challenge to help, but very satisfying to be part of a community effort, and to lend my modest expertise on neural recovery.
My life is a continuing balance between accepting a permanent injury which is still giving way to some progress, and accepting life in this different mode. I windsurfed this summer- perhaps the most physically challenging activity I attempt. My guitar playing is reasonable given my lack of practice. I tire easily, but that may be age, ambition, or the stroke. Happy to be reporting. Taking my meds- apirin, Lipotor, and vitamins, and not expecting another stroke.
26 February 2009- I continue to make slow progress. I can do yoga postures that involve standing balanced on the left leg for longer. I have less cramping, but I also worry this is because I am not pushing the leg harder. Guitar playing is creeping back. Swallowing mistakes seem less frequent, but perhaps I am simply learning not to fall asleep at the wrong angle. No news from neurology on the PFO closure study. Still using atorvastatin (Lipitor) made in India, yum. I went skiing this week, and reminded myself that exercises are not nearly as much fun as skiing or biking or lumberjacking, nor as good exercise.
March 23 2009- Four Years Later
The best revenge is living well. Check. The next best thing is not having a second stroke. Check. (as far as we know- the brain being capable of performing well even with big chunks gone, or failing completely when the wrong little piece is damaged.)
I still remember vividly the friends, acquaintances, and strangers in my messy bedroom on that questionable morning four years ago. I still marvel that it took all day before the stroke symptoms settled from general weakness of the limbs and tongue into left side paralysis. What we might have done if we had known. But we did not know, despite CAT and MRI. We never saw the cause- the clot we figure. We saw the damage in the pons the next morning on the MRI and inferred the clot.
Enough of the past, how about now? Still progressing. Physically- the current focus is on hyperextending the left leg with strength and control. That’s bringing the knee back into a locked position. I had been working mostly on a forward bent knee, athletic position in both rehab and yoga exercises, finally able to maintain reasonable balance standing on just the left leg. But the next yoga pose called for locking the knee back. Fascinating to feel the brain relearning those control patterns, and also feel the ache in the muscles which were not employed recently.
I want to talk about music and theatre. Every week I learn (or relearn) two new pieces of music for my church choir, plus I learn music in my community chorus, and soon the opera chorus kicks in again. Marriage of Figaro. Every month I learn one or two parts in the plays- or degrees as we call them- in my Masonic organization, the Scottish Rite. And in my teaching, I lecture primarily without notes. My brain is constantly called upon to prepare and learn new material. New passages of music and words, new strings of concepts to show students the interlocking pieces of the puzzle in the field which is a part of the universe of human knowledge. I cannot help feeling that this constant activity of learning and relearning is helpful in my stroke rehabilitation. I can feel an urge to simply sit back and coast- enjoying the rich pleasures of listening, watching, reading, and conversing, without effort to change what I know, think, and do. It would be enough to say I am walking and talking. A miracle indeed. But not enough for me, not enough to raise my kids to their best, not enough to be my wife’s partner instead of patient.
Still on atorvastatin and adult aspirin. Still a control subject in PFO closure study. The clonus continues to slip deeper into moments of fatigue or extreme emotion. Choking on my own saliva continues to be less common, not gone. Limp when tired. Tired sooner- but that may be frustration, age, stroke, or late night work. I can still feel that my left side is different. I try to start each day with bicycle, yoga, and PT exercises. Rev ‘em up Rick.
Oct 31 2009 Halloween I can still measure progress. Yoga poses standing on the left leg are getting better. My favorite mental trick for that is to imagine pushing the earth away as a big ball under by foot as it tries to skitter from side to side. Somehow that works better than trying to feeling like I am standing balanced. Clonus is reduced in several situations, perhaps because I am less emotional or nervous about it. I limp more commonly when tired- perhaps because I have been more tired lately with a new job, perhaps because my new job has kept me from staying in better physicaly conditioning. perhaps becasue I am inattentive to it when it happens and fail compensate. Kids are a ball, all my jobs are fulfilling- bookselling, teaching, research. Research work involves machine shop work to build apparatus; hand strength and dexterity seem fine, but I am being cautious. Almost no choking on saliva recently. Possibly just better movie watching posture, or worse. Haven’t found swallowing exercise that might strengthen that which I maintain. Planing to play harmonica and tuba version of Handel’s Alleluia chorus next month- maybe that will test the throat.
Stroke Log January 2011
Coming up on six years, I still have enough symptoms to continue this log. I am still doing everything. But I am still occasionally tripping or loosing balance, which I attribute to my weak left side, rather than age or klutziness. I still choke occasionally on my own saliva, but that has continued to improve. My leg still shakes when tired or emotional, but perhaps I am less tired and less emotional. I still need to pay extra attention to signals to take a leak.
Standing on just my left leg to do yoga is still difficult, but improving slowly but significantly. I continue to do my physical therapy exercises, stepping, and rotations, but I miss about every other day. I do some of them daily in the shower. I can do gentle body rotations, and shallow knee bends at the same time, and also brush teeth with one hand, and wash hair with the other, and hum music, and think about triangles with integer sides (3,4,5 12,5,13 et al). I have a feeling that when this brain tumbles, it will be a mess.
I took up tennis– after a thirty year hiatus- last summer with Holliday, and built a wood deck 12 by 16 feet and backboard on the garage to practice at home. Should have done that years ago. Right after the stroke. Fast easy fun exercise. Outdoors. Cheap.
One of my voice teachers told me my voice has had a vibrato since the stroke, which need control a times. I am now conscious that I cannot sing notes as steadily as I believe I could before the stroke. This is consonant with the general recovery, but loss of precision for the whole left side. Darn darn darn. But am I not a lucky fellow to have recovered the ability to do eveything, even if with less strength and control?
Everything heals less quickly at age 58- muscles, joints skin. So I need to stay in shape so as not to have to risk injury to get into shape, and I need to be careful to stress myself steadily, but avoid injury. This has been hard in my new machine shop as I keep getting nicked and sliced by my new tools and flying parts. I am pretty sure these injuries are not age and stroke related, but rather lack of sufficient care with new power tools working metal and sharp plastics.
I worry little about a second stroke at this point. I continue on one adult aspirin and 20 mg Lipitor (from India) and vitamin pill daily. I must keep up the rehab or I backslide quickly. Baking is good exercise for my hands, and I can do kneebends while I knead.
I should be surveying the stroke literature to better understand any changes in knowledge, prevention, and treatment. Let that be my New Year’s resolution and concluding sentence.
March 2013 Eight years after the stroke.
Still taking my aspirin. Still taking atorvastatin- but from the local store rather than India. Still have a weak but functional left side and brisk reflexes. Swallowing problem seems to be largely gone. Maybe I learned to avoid it through posture, or maybe I learned the right muscular swallow control.
No more trips as a research subject to see a stroke specialist at Dartmouth. The study seems to have concluded, finally, that closure is not indicated. In fact the intervention’s own medical risk seemed significant. Did I already write about this?
March 2014 Nine Years after the stroke
Not much changed. Ever optimistic that I can get into better strength and less limp on the left side. No recent attempts at changing the routine or improving. Still occasional OT exercises combing with yoga. Skiing fine. Tennis fine. Carpentry and lumbering fine. Not teaching, not driving long distances weekly. Maybe sleeping more. Holliday’s mother died last October from lung cancer, about the same time my stepfather was told that his heart failure due to bad valve gives him six to twelve months. Holliday finally recovering from Achilles and knee problems to restart tennis. Rikki spent three months out of work from a broken tibia. Murilla graduated from college. Sophie scored 800, 800 and 750 on the SATs and got into Barnard College Early Decision. Miranda started serious gymnastics training and competition. Struggling to keep book shop in the black, adding video rental. Directing Masonic plays and and opera, and 1845 Lodge building rehab. Singing at church and Mad River chorale. Now Cubmaster for Pack 798. Simply focused on other things than physical conditioning. Broke my toe last fall, requiring plate and five screws; hospitalist at Gifford Hospital recommended I drop from whole to one quarter (81 mg) adult aspirin based on recent studies. Brisk reflexes due to stroke made surgery difficult.
My Stroke Ten Years Later.
Two big items: I recovered most everything. I have not had another stroke.
I ski, swim, paddle, cut down trees, and eat my lunch…… I switched from Coumadin to aspirin, and continue on atorvastatin (Lipitor). Last year I reduced aspirin dose from 325 to 81 mg, based on current research told me by the hospitalist who reviewed by health prior to surgery for a broken toe.
My reflexes are brisk on the left side. My left side is still weaker than right and needs conscious attention to avoid limping, especially when tired. My left side learns but seems to forget what was learned easily. My theory is that ipsilateral nerves were a backup that took over from the “stroked” contralateral motor nerves, but they are not as capable of retained learning as the normal contralateral circuits- lacking the usual cerebral associative connections. I have tried to stand on my left leg alone, but this is still very difficult. I think this is a matter of limited coordination, not strength. Again the ipsilateral takeover theory applies. I have occasional clonus in the leg, shaking especially when emotional or nervous- singing solos or major theatric roles for example. It occurs especially if there is just the right amount of pressure on the bottom of the foot to produce a bouncing reflex action.
Perhaps most interestingly, my left side still feels abnormal from the minute I wake up and get out of bed. I would have guessed I would get used to the change. Perhaps the brain has strong circuits for symmetry. Perhaps I am just so used to the way my body felt for 53 years, that after ten years I have not adapted. In fact, for the last year of so, I have begun to not notice the asymmetry so much, and people have lately been mentioning my limp. Getting lazy.
I have some autonomic deficits that have been manageable- saliva draining into my bronchial tubes, with coughing, when I am in a reclined sitting position, and occasional bladder urgency. I cut down trees ,and eat my lunch, and go to the lava’try- thank you Monty Python.
I can talk fine. My singing voice is not able to hold notes as steadily as I could prestroke. But I still sing in church choir and community chorus, and sang until a couple years ago in a professional level opera chorus.
Before the stroke there were occasional times when I had migraines- mostly with visual disturbance, and headache which had declined in intensity over the years. I was also prone to headaches, especially if I had not eaten well during the day. I still get occasional “migraine” visual disturbances but without any headaches. Also I cannot recall headaches at all in past years. I mention this because migraine has been associated with strokes, but with an unclear relationship. Perhaps my lifestyle has shifted, or I have aged, or the atorvastatin or aspirin, are preventing headache, or something else….
I was in a multicenter study of PFO closure. I was randomized into the control group at Dartmouth Hitchcock MC). After extended data collection( like 5 years! to get enough subjects), the study concluded that PFO closure did not improve likelihood of further strokes. However, the usual problems with surgical intervention to place the PFO closure device were noted.
I has been hard to continue identifying as a stroke survivor, as my recovery has been so good it seems like the stroke was minor. I can point to how it could have been much worse. I was lucky to have no apparent sensory disruption, for example. The MRI showed only a small area damaged (pontine cerebralspinal nerve). I had excellent medical, family, and community support that aided my prompt recovery. My knowledge of neuroanatomy, high motivation, and learning ability certainly helped me cope and rehab effectively. The lack of successive strokes gradually reduced anxiety that this stroke signaled a life-threatening condition. My ability to retain what I have learned- compliance with meds, continued PT, and trying to keep my blood healthy with exercise and diet with modest success- have worked for me. I try daily to do at least part of a regimen I have devised that includes parts of the athletically inclined Bikram yoga routine which has elements of breathing stretching and balance and some PT exercises to strengthen the left leg and keep the whole body integrated.
I look forward to occasional updates, but especially an update in 2025 when I will be 72 years old. Happy to answer questions. 24 March 2015 Fayston, Vermont

You must be logged in to post a comment.